Foundation
Posterior composite one day course & hands-onTake Your Esthetic Restorations to the Next Level – with Immediately Applicable Skills!
November 15, 2025 (Saturday)
SPEAKER
Dr. Angelina Semenova – Restorative Dentist
Apply for the course today!
Immediate Progress in the World of Esthetic Restorations!
Do you feel like your daily routine leaves no time to try new techniques, but you still want to work with more confidence on composite restorations?
Would a structured, hands-on approach help you—one that you can apply in your clinic the very next day?
Are you interested in tips and tricks that lead to more precise, more beautiful, and longer-lasting results?
Then this composite course is for you! We teach proven, immediately applicable techniques that will boost your confidence in everyday esthetic dentistry.
Get to know our speaker!

Dr. Angelina Semenova
Dr. Angelina Semenova earned her dental degree from Pavlov First State Medical University of St. Petersburg in 2020. From the very beginning of her career, she has been dedicated to esthetic dentistry, with a special focus on both direct and indirect restorative techniques. Her work is guided by precision, natural esthetics, and functional harmony.
She practiced in Romania for several years and has been working in Hungary since 2025, currently as part of the Differental Dental Clinic team in Budapest, alongside Dr. Zsolt Nagy. In her clinical work, she uses state-of-the-art materials and technologies to provide long-lasting, esthetic, and comfortable solutions for her patients.
Dr. Semenova is a passionate participant in international dental courses and is committed to continuous professional development.
Participants love her courses because:
- they are highly practical and well-structured, offering immediately applicable knowledge,
- she explains the theory and clinical steps of esthetic restorations clearly and logically,
- she teaches through real clinical cases, making it easy to transfer techniques into everyday practice,
- her precise yet inspiring teaching style motivates attendees to improve,
- and she creates a friendly, supportive environment where participants feel free to ask questions and practice.
Her courses strike the perfect balance between scientific content and practical usability.
Course Reviews
My name is Ștefania, and I am a recent graduate of the Faculty of Dentistry at the “Carol Davila” University of Medicine and Pharmacy in Bucharest. Earlier this year, I had the opportunity to attend the course in Vienna led by Angelina and Rares, with the support of Ivoclar. I had long wanted to join this program, as I had heard from many colleagues how valuable it is for professional growth. After completing it, I can confidently say that the experience exceeded my expectations.
Angelina is a warm, approachable, and highly dedicated professional. Her teaching style made it easy to understand concepts that I had previously found challenging during university. It is evident that she is deeply passionate about her work and genuinely committed to sharing the knowledge and skills she has acquired over the years.
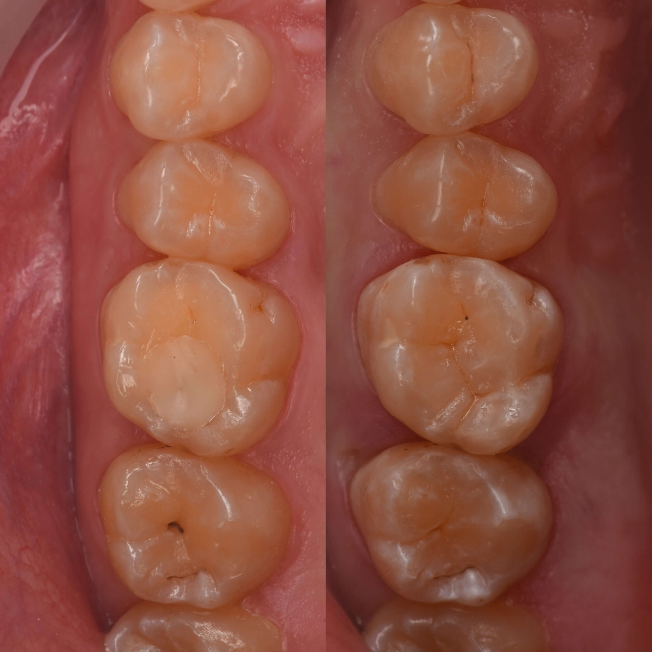
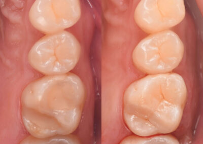
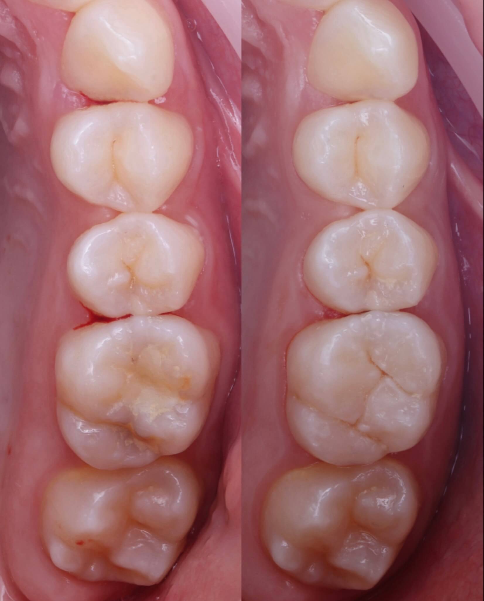
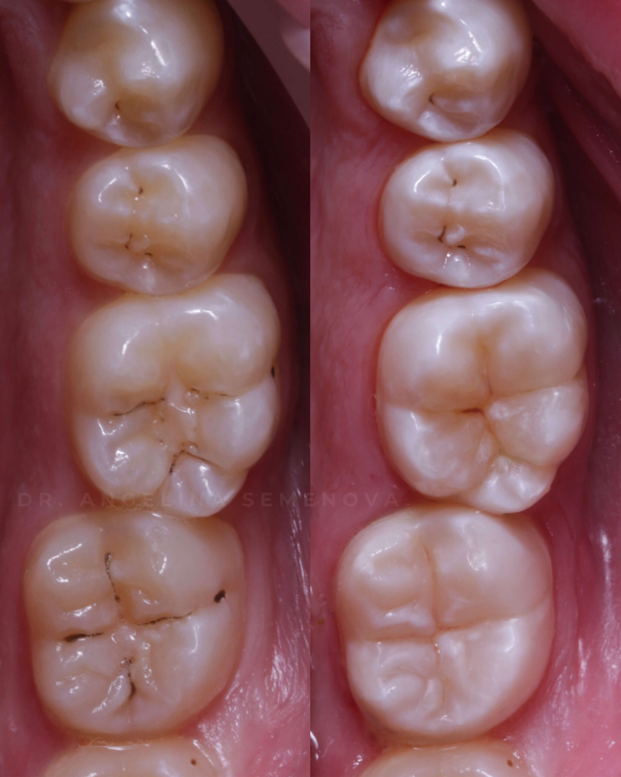
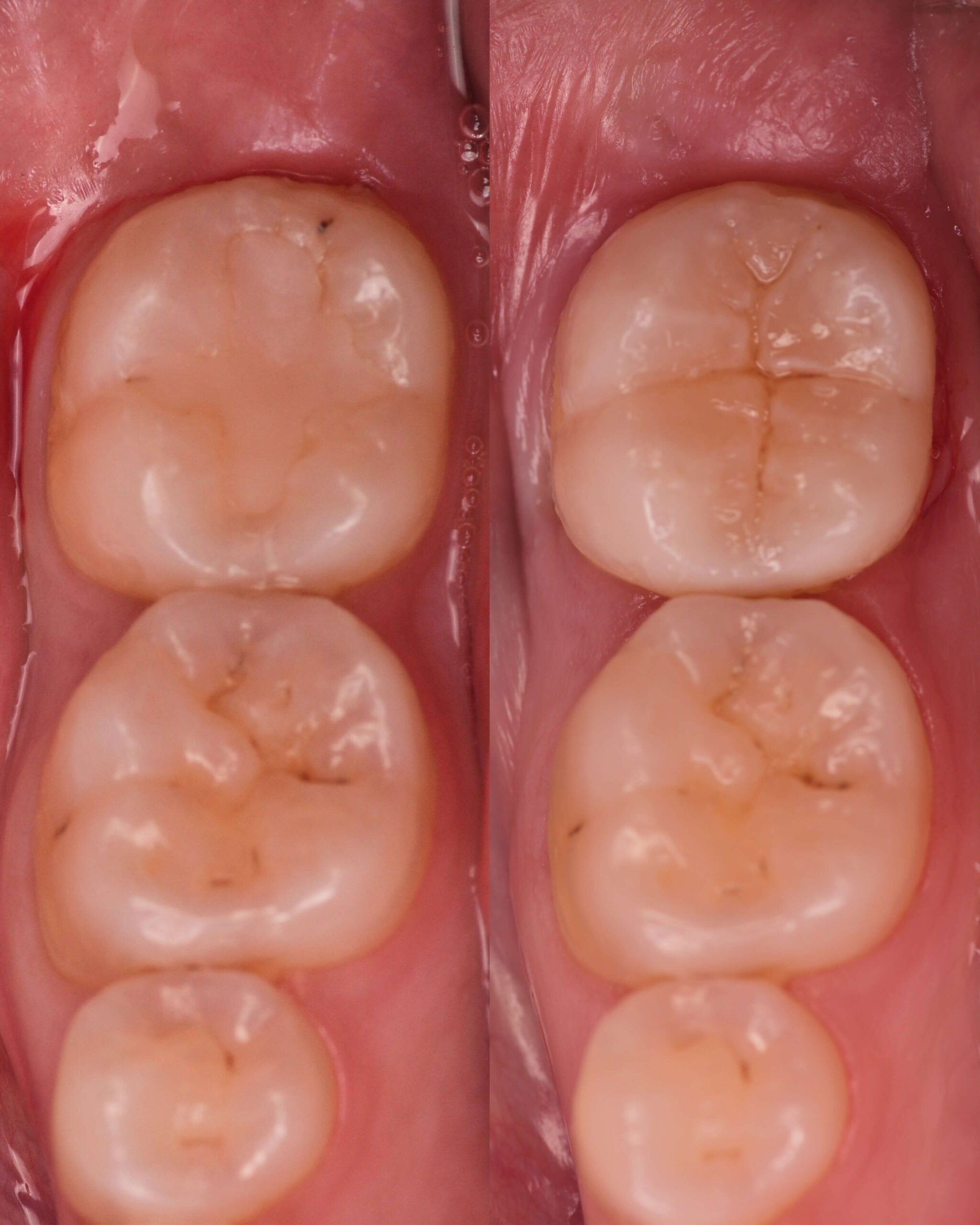
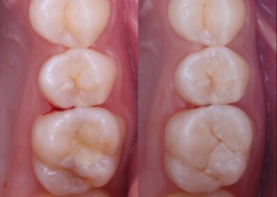
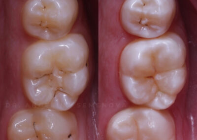
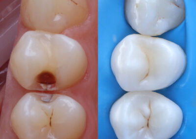
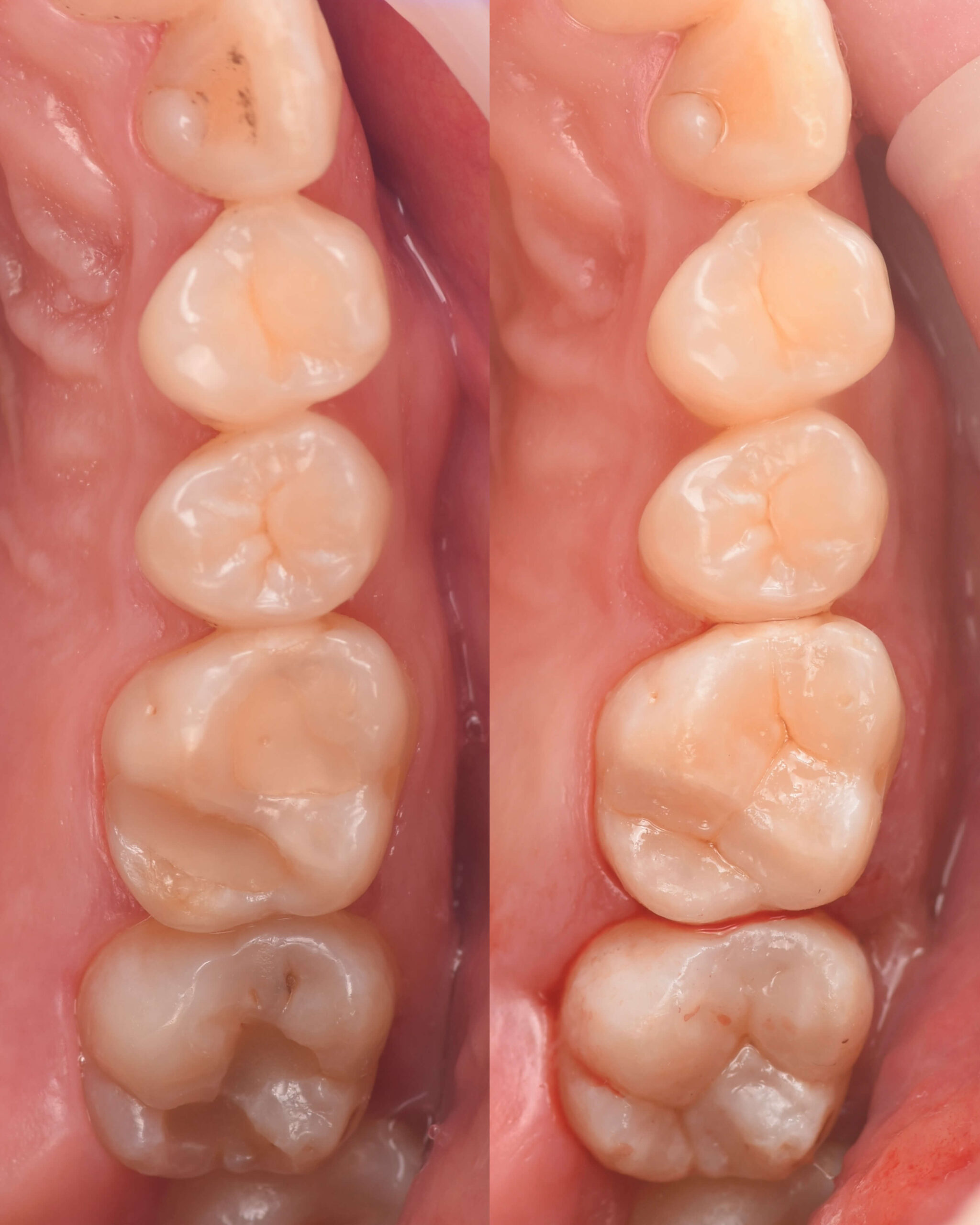
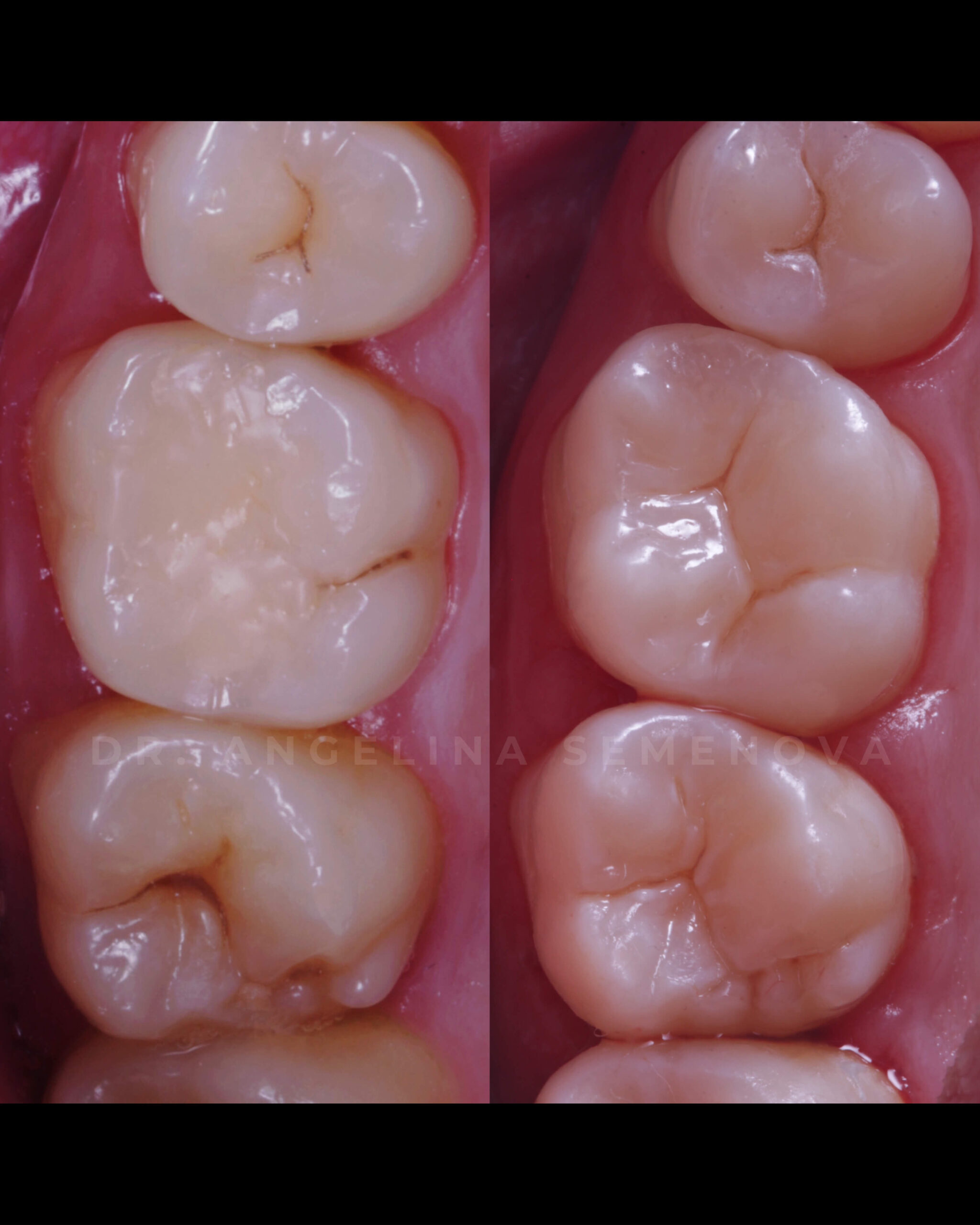
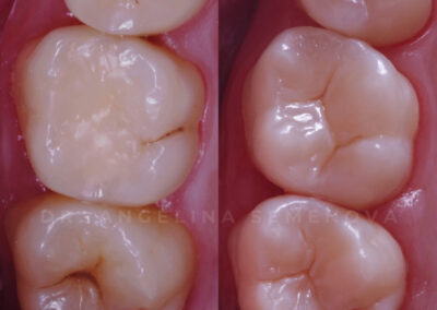
One of the highlights for me was the session on molar restoration techniques. The practical demonstrations, detailed step-by-step guidance, and numerous clinical tips & tricks were extremely helpful in building confidence and precision for daily practice. Overall, the course was an excellent experience that I would highly recommend to any young dentist eager to refine their skills and gain valuable clinical insights. I could say a lot more about the experience, but it’s better for you to discover for yourselves just how cool both she and Rares are!
“I’d really recommend this composite course to anyone who wants to improve their everyday work and get more confident with esthetic restorations. It’s well-structured, practical, and easy to apply right away in the clinic. I think it’s a great opportunity to pick up useful tips and techniques.”
The whole course was extremely useful, but the hands-on was the most useful part. It was a good course, i can recommend for my friends.
I’m Seren Ibraim, and I graduated this year from the “Carol Davila” University of Medicine and Pharmacy.
I attended this course during my 6th year of studies, and it turned out to be one of the best decisions I made. The friendly, encouraging atmosphere made learning the techniques and practicing them a truly enjoyable experience. The tips and tricks we were taught were extremely practical, and I still use them in my daily work.
For me, the most valuable part was the hands-on practice. At university, we focused heavily on theory, with far fewer opportunities to apply it in a practical setting. This course filled that gap and gave me the confidence to put my knowledge into action.
I would definitely recommend this course to anyone who wants to work more efficiently while enjoying the learning process.
A few months ago, I had the opportunity to join the “Foundation: Posterior Composite” course and hands-on workshop.
As a 4th-year student at that time, I was just starting to get used to the basics – understanding how materials work and trying to apply all the theory I had been learning for so long, but with little practical experience. Yet, after just a few hours, things became much clearer. With just a few tips, Dr. Angelina Semenova helped me understand the essentials and approach everything calmly, step by step.
Now, restorations no longer feel like an unreachable task, and I’m glad to say that since then, I have even managed to work on an actual patient.
For that reason, I would definitely recommend this workshop. You learn so much in such a short time and, most importantly, you learn how to apply it.
Discover the full program!
THEORETICAL PART (1.5 hours)
- Isolation tips
- Preparation protocol for Class I and II
- Adhesive protocol
- Auxiliary materials and instruments for restoration
- Polishing protocols
- Anatomy of the posterior teeth
PRACTICAL PART (3.5 hours)
Restoration of lower molars (class I and II)
Useful information
Date
November 15, 2025 (Saturday)
Location
Differental Dental Clinic and Training Center
1015 Budapest, Csalogány utca 26.
Language
The course is conducted in English.
Course fee
The course fee for DENTISTS is 100,000 HUF, which includes:
- On-site use of recommended instruments,
- Unlimited coffee, tea, soft drinks, and snacks,
- Digital course materials.
Course fee
The course fee for STUDENTS is 70,000 HUF, which includes:
- On-site use of recommended instruments,
- Unlimited coffee, tea, soft drinks, and snacks,
- Digital course materials.
BLACK NOVEMBER DISCOUNT
Register by November 15, 2025, and receive a 15,000 HUF discount on the course fee!*
*The discount can only be applied to full-price dental tickets.