Dohányzás és porcelán héjak – Mennyire káros?

Dohányzás és porcelán héjak – Mennyire káros?

Először is muszáj néhány szót ejteni a dohányzás egészséget befolyásoló hatásáról. A dohányzás okozhat ajak-, szájüreg-, gége-, valamint nyelőcsőrákot. Gyulladás felerősítő hatással bír. Főleg az ínyűnkre, valamint a lágyszövetekre nézve káros, a fogakat direktbe nem...
Mosolyszépítés lépésről lépésre

Mosolyszépítés lépésről lépésre

Gondolta volna, hogy számos, a mosolyzónán kívül eső tényező befolyásolhatja az esztétikai beavatkozások megkezdését? Dr. Nagy Zsolt a Differental Fogorvosi Rendelő digitális és esztétikai fogászat specialistája részletesen megosztja velünk ezen megelőző lépések...
Fogínygyulladás kezelése házilag – A fogorvos válaszol

Fogínygyulladás kezelése házilag – A fogorvos válaszol

A fogínygyulladás nagyon gyakori. Legtöbb esetben a nem kellően alapos fogmosás miatt a fogakon felhalmozódott lepedék okolható számos fogakat és fogínyt érintő betegségért. Ismerjük fel a fogínygyulladás tüneteit! fogínyvérzés ínyduzzanat vöröses íny szín A...
Porcelán héj tapasztalatok

Porcelán héj tapasztalatok

Páciensünk foga letört, amit korábban direkt héjjal pótoltak egy másik rendelőben. A direkt héj a fogorvosi székben készül kompozit tömőanyag segítségével. A fogorvos a kezelés során lépésről lépésre építi fel a direkt héjat a páciens szájában, hasonlóan a...
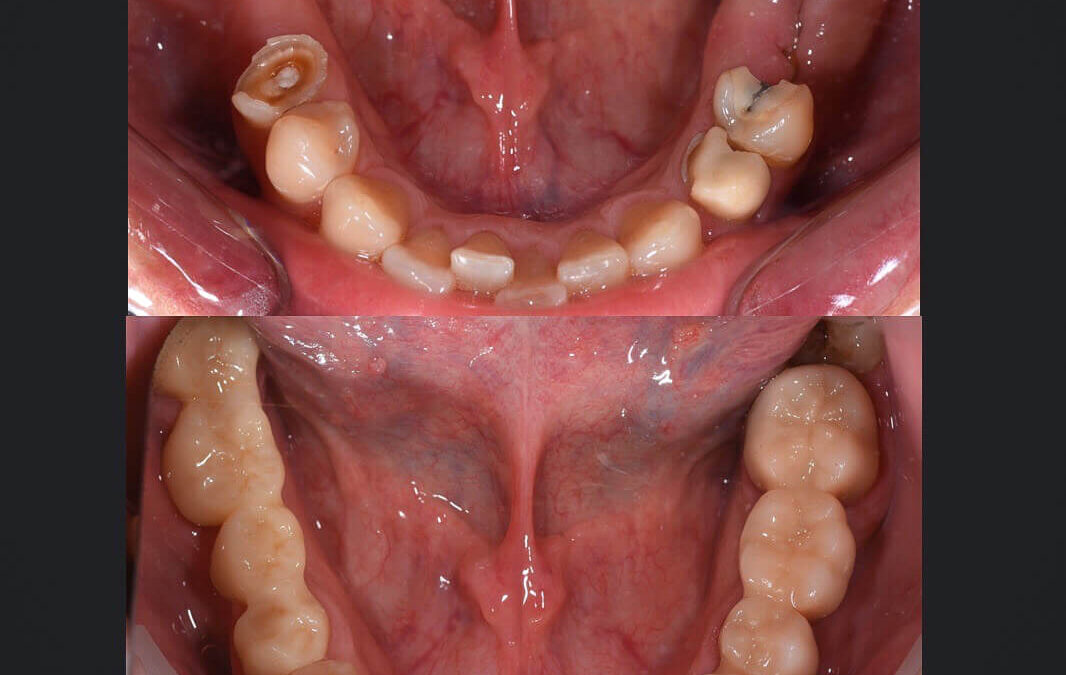
Előtte-utána: Hiányzó fogak pótlása

Előtte-utána: Hiányzó fogak pótlása

Kornél elvesztett fogainak pótlása miatt kereste fel fogorvosi rendelőnket, valamint szerette volna azt is, hogy metszőfogai esztétikusabbak legyenek. Alul és felül egyaránt több fogat áthidaló hiányt kellett orvosolni. Ehhez a rendelőnk több fogszakorvosa is...